台中慈濟關節中心翻修手術 矯正失敗人工膝關節
膝蓋退化性關節炎,更換人工膝關節並非一勞永逸!國內外統計,手術後仍有一至兩成病人對結果不甚滿意。台中慈濟醫院關節中心醫師趙子鎔分享人工膝關節置換失敗案例,提醒大眾術前評估與精準手術規劃才是成功關鍵。

七十七歲林先生,去年因退化性關節炎造成走路疼痛,到醫院院接受人工膝關節置換手術。但是術後六個月膝蓋仍持續腫脹、走路歪斜,難以上下樓梯,甚至反覆積水,每周需兩次回院抽水,生活品質大幅下降。林先生非常失望,直言:「換關節比沒換更糟糕。」
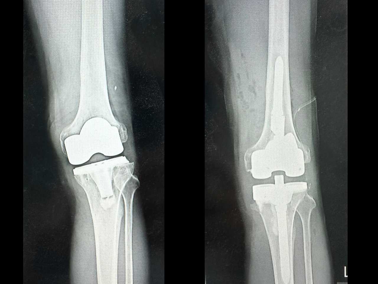
林先生經由親友介紹,轉到台中慈濟醫院趙子鎔醫師門診檢查。X光與電腦斷層顯示,原本置換的人工關節角度出現偏差,導致膝關節軸向錯位、受力不均。趙醫師表示,人工關節應與人體重心軸線垂直,但病人術後角度卻反向歪了約十度,造成走路一踩就歪,膝蓋反覆發炎積水而疼痛。

趙子鎔醫師與林先生反覆分析溝通後,進行「人工關節翻修再置換」手術,透過電腦斷層影像規劃,重新調整關節角度與力學軸線。術後第二天,林先生便能下床行走,一個月後腫脹消退,不再反覆積水,已經能獨自行動,甚至可以搭公車回診。他開心表示:「不再腫、不再痛,走路終於又有力量,非常感謝趙醫師。」
趙子鎔指出,人工膝關節手術並非百分之百成功。排除組織感染、沾黏等因素,約有百分之一到五的病人,可能因角度偏差或骨質問題導致置換失敗,需再次手術。他提醒「人工關節置換並非愈快開刀愈好,術前醫師的評估與精準手術過程,才是成功關鍵。」

他進一步說明,現代膝關節手術可藉電腦導航輔助,如Rosa機械手臂導航系統,在術前模擬手術角度與軟組織張力,協助醫師術中更精準地置換關節。趙子鎔強調,台中慈濟醫院關節中心推動「膝關節健康促進方案(KHPO)」,理念與技術並進,希望病人不輕易開刀;若確實需要開刀,就應縝密規劃、精準執行,避免病人再次承受疼痛之苦。